Chronic Myeloid Leukaemia (CML) is a type of cancer that affects the blood and bone marrow, characterized by an overproduction of abnormal white blood cells. It is crucial for patients and their families to recognize chronic myeloid leukemia symptoms early to seek timely CML treatment, which has significantly evolved in recent years. Groundbreaking advances in therapy, particularly with tyrosine kinase inhibitors, have transformed CML from a once terminal diagnosis into a manageable chronic condition. The latest research in CML continues to explore innovative treatments and clinical trials, aiming for better outcomes for patients. As we delve into this comprehensive guide, we will explore the complexities of CML and the essential developments in diagnosis and care.
Chronic Myeloid Leukaemia, often referred to as CML or Philadelphia chromosome-positive leukaemia, is a hematological disorder that originates in the bone marrow due to a specific genetic mutation. Understanding the terminology associated with this condition, including phrases like chronic leukemia and myeloid malignancies, is vital for recognizing its impact on patient lives. This guide will shed light on the symptoms of CML, the advancements in targeted therapies, and the ongoing efforts in clinical trials aimed at enhancing treatment strategies. As the field of blood cancers evolves, staying informed about the latest findings and treatment options in CML is essential for patients and healthcare providers alike. Through a thorough examination of these critical aspects, we aim to illuminate the path forward for individuals affected by CML.
Understanding CML Symptoms and Diagnosis
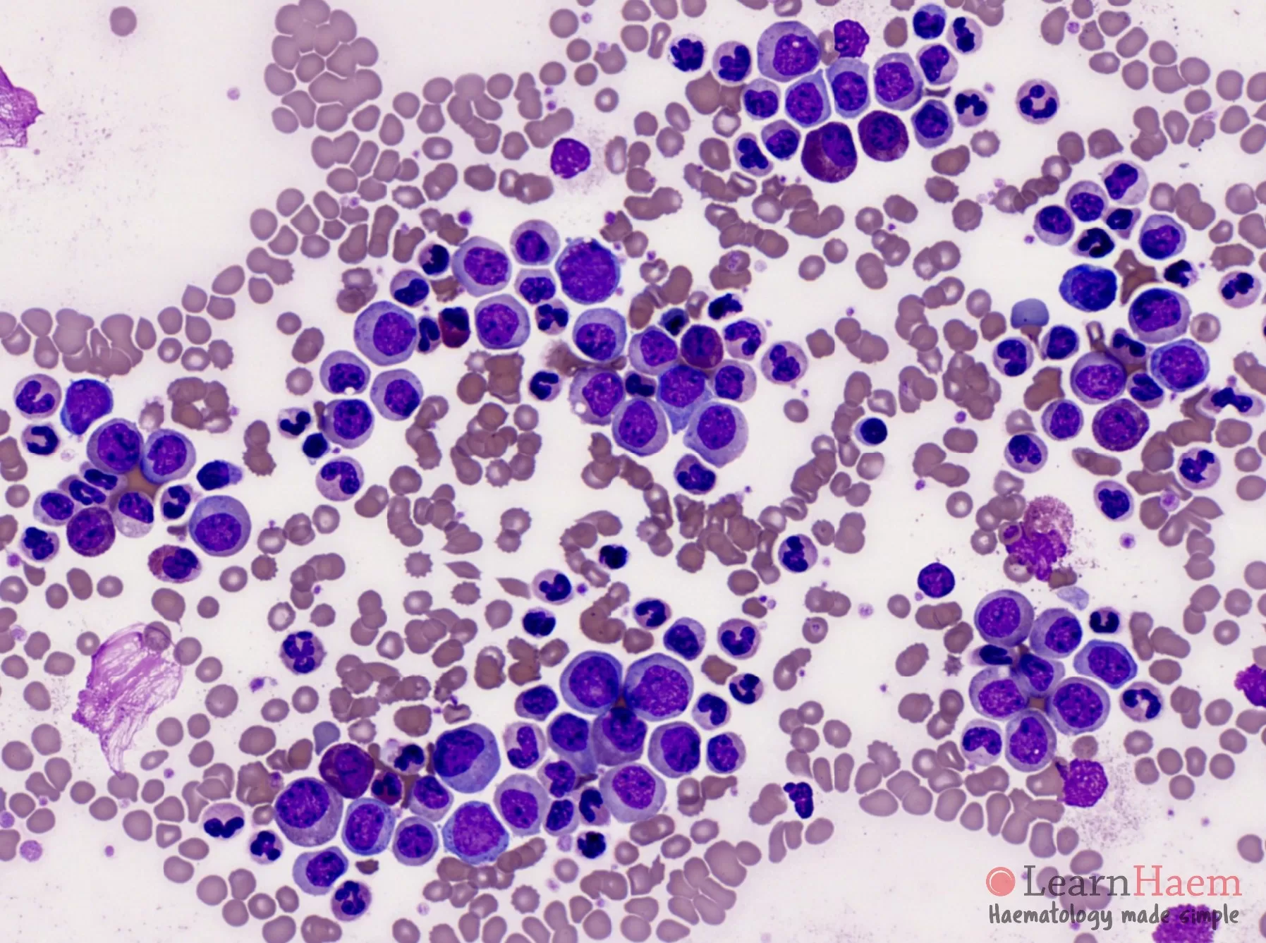
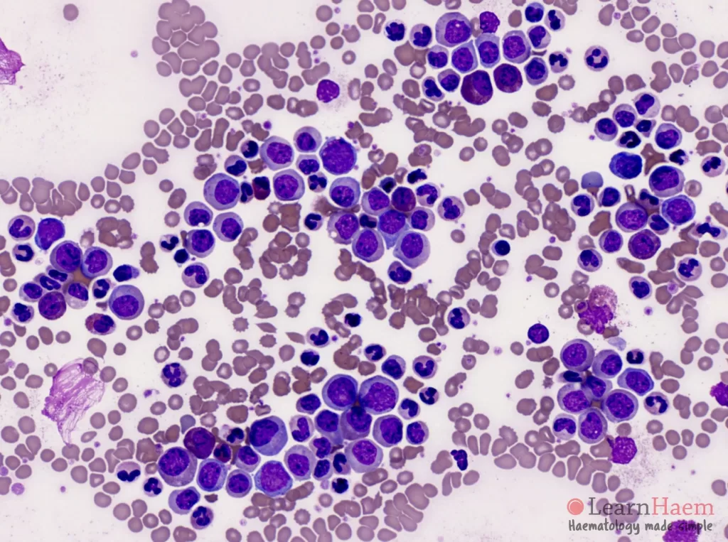
Chronic Myeloid Leukaemia (CML) often remains asymptomatic in its early stages, making the diagnosis challenging. Patients may not display noticeable signs during the chronic phase, which can last for several years. As CML progresses to the accelerated phase, symptoms may become more apparent. Common symptoms include fatigue, unexplained weight loss, night sweats, and an enlarged spleen or liver, also known as splenomegaly and hepatomegaly. The importance of early diagnosis cannot be overstated, as it plays a critical role in improving treatment efficacy and patient outcomes.
Advanced diagnostic techniques, including blood tests and bone marrow biopsies, are essential for confirming CML. A complete blood count can reveal elevated white blood cell levels, while genetic testing helps identify the presence of the BCR-ABL fusion gene, pivotal for a definitive CML diagnosis. Additionally, laboratory markers are closely monitored, particularly the BCR-ABL transcript levels, which provide insights into disease progression and treatment response. Early and accurate diagnosis leads to timely intervention, helping patients effectively manage their illness.
The Role of Tyrosine Kinase Inhibitors in CML Treatment
Tyrosine kinase inhibitors (TKIs) have revolutionized the treatment landscape for Chronic Myeloid Leukaemia (CML). These targeted therapies specifically inhibit the action of the BCR-ABL fusion protein responsible for the uncontrolled proliferation of myeloid cells. The introduction of Imatinib, the first-generation TKI, marked a significant milestone, offering substantial improvements in overall survival rates for patients diagnosed with CML. Its success laid the groundwork for the development of second and third-generation TKIs, like Dasatinib and Nilotinib, which have demonstrated enhanced efficacy, particularly for those with resistant disease.
The ongoing adaptation and deployment of TKIs in CML treatment illuminate the field’s progress. Clinicians often assess patient response through molecular monitoring, guiding necessary modifications in therapy. For example, patients who exhibit resistance to initial treatment options can benefit from innovative therapies such as Ponatinib, which targets TKI-resistant mutations, or Bosutinib, known for its potency against a broad range of CML cases. The commitment to enhancing patient outcomes through tailored therapeutic strategies underlines the importance of continued evaluation and research in this area.
Latest Research in Chronic Myeloid Leukaemia
The research landscape for Chronic Myeloid Leukaemia (CML) is ever-evolving, with ongoing studies focused on improving treatment regimens and understanding the disease at a molecular level. The latest findings highlight the significance of early molecular response as a crucial predictor of long-term outcomes. Researchers are investigating how achieving lower BCR-ABL levels within the first few months of treatment correlates with better prognosis, paving the way for personalized therapeutic strategies that could alter conventional treatment approaches.
Additionally, exciting developments in combination therapies are emerging. Recent clinical trials are exploring the synergistic effects of combining TKIs with investigational agents, such as CAR-T cell therapy and bispecific antibodies, to deepen responses and potentially eradicate CML entirely in resistant cases. These advancements represent a transformative approach to CML management, demonstrating the importance of integrative research that spans cellular biology, genetics, and innovative treatment modalities to enhance patient care.
Quality of Life Considerations for CML Patients
While the battle against Chronic Myeloid Leukaemia (CML) often focuses on clinical treatment and outcomes, the significance of quality of life (QoL) is increasingly recognized. Patients diagnosed with CML face numerous challenges, ranging from physical side effects of treatment to psychological stressors such as anxiety and depression. It is essential for healthcare providers to engage in holistic care, ensuring that patients receive not only medical treatment but also psychosocial support throughout their journey.
Organizations like the Leukemia and Lymphoma Society emphasize the importance of patient education and advocacy, which can empower individuals to take an active role in their health. Support groups, counseling services, and symptom management strategies are vital tools that contribute to improving the quality of life for those affected by CML. By addressing the emotional and physical aspects of living with this chronic condition, the healthcare community can foster a comprehensive support network that encourages better health outcomes and enhances overall well-being.
Future Directions in CML Clinical Trials
The field of Chronic Myeloid Leukaemia (CML) is teeming with potential, particularly in the area of clinical trials exploring new treatment pathways and innovations. Ongoing studies are assessing novel agents that target various mechanisms involved in CML progression, aiming to provide more effective options for patients with treatment-resistant disease. Trials of new compounds, including those that focus on immunotherapeutic approaches like CAR-T cell therapy, are investigating their efficacy and safety in targeting resistant CML, promising more personalized and effective treatment alternatives.
Moreover, the emphasis on long-term follow-up in clinical trials has illuminated the need for ongoing monitoring of treatment responses. This includes examining the potential for treatment discontinuation strategies, aiming for sustained molecular response after therapy. As researchers identify effective maintenance strategies and optimal duration of treatment, the understanding of CML management continues to evolve. Harnessing the collective insights from these trials will not only expand the therapeutic arsenal against CML but also significantly improve the quality of life and survival rates for those affected by this complex condition.
Frequently Asked Questions
What are the common symptoms of Chronic Myeloid Leukaemia (CML)?
Chronic Myeloid Leukaemia (CML) often presents with subtle symptoms initially. Common symptoms include fatigue, fever, night sweats, unexplained weight loss, and a feeling of fullness below the ribs due to spleen enlargement. As the disease progresses to more advanced phases, symptoms may worsen, highlighting the importance of regular monitoring and consultation with healthcare providers.
How are tyrosine kinase inhibitors used in CML treatment?
Tyrosine kinase inhibitors (TKIs) are the cornerstone of Chronic Myeloid Leukaemia (CML) treatment. These targeted therapies specifically inhibit the BCR-ABL fusion protein responsible for the uncontrolled cell growth in CML. Imatinib was the first TKI approved and is still widely used, while newer second- and third-generation TKIs like Dasatinib and Nilotinib offer effective treatment alternatives, especially for patients with resistance to initial therapies.
What are the latest research findings regarding Chronic Myeloid Leukaemia (CML)?
Recent research in Chronic Myeloid Leukaemia (CML) focuses on improving treatment outcomes through innovative approaches, including novel TKIs and combination therapies. Studies are also exploring CAR-T cell therapy and the development of bispecific antibodies to address resistance cases. Additionally, progress in understanding genetic mutations associated with CML is paving the way for personalized treatment strategies, ultimately enhancing patient care and prognosis.
What role do clinical trials play in the treatment of Chronic Myeloid Leukaemia (CML)?
Clinical trials are essential for advancing the treatment landscape of Chronic Myeloid Leukaemia (CML). They assess new therapies, dosing strategies, and combination treatments, allowing researchers to determine safety and effectiveness. Participation in clinical trials provides patients access to cutting-edge treatments and contributes to the overall understanding of CML, leading to improved management strategies and outcomes.
How does molecular monitoring impact the treatment of Chronic Myeloid Leukaemia (CML)?
Molecular monitoring is critical in the management of Chronic Myeloid Leukaemia (CML). It involves regular testing for BCR-ABL levels in the blood to assess how well treatment is working. These insights allow healthcare providers to make timely adjustments to treatment plans, aiming not just for disease control but for achieving a durable molecular response, which significantly enhances patient prognosis.
| Aspect | Details |
|---|---|
| Definition | Chronic Myeloid Leukaemia (CML) is a chronic form of leukemia originating in the bone marrow. |
| Causes | CML is caused by a genetic mutation that leads to abnormal white blood cells and the BCR-ABL fusion protein. |
| Phases of CML | 1. Chronic Phase – mild symptoms, slowly progresses. n2. Accelerated Phase – more aggressive, stronger symptoms. n3. Blast Crisis – resembles acute leukemia, requires immediate treatment. |
| Treatment | 1. Targeted Therapies – Tyrosine Kinase Inhibitors (TKIs) like Imatinib, Dasatinib. n2. Molecular Monitoring – assesses BCR-ABL levels for treatment efficacy. |
| Research Developments | Emerging therapies such as CAR-T cell therapy and bispecific antibodies. nContinued focus on genetic insights for personalized treatment. |
| Quality of Life | Mental health and psychosocial well-being are crucial considerations in CML care. |
Summary
Chronic Myeloid Leukaemia (CML) is a chronic malignancy that has seen significant advancements in treatment and management over the years. With the discovery of targeted therapies like tyrosine kinase inhibitors, patients can now experience better control of the disease and improved quality of life. The continuous evolution of research, particularly in the realms of molecular monitoring and personalized medicine, is crucial for adapting treatment plans that cater to individual needs. As knowledge continues to grow, so does the hope for better outcomes for individuals living with CML.
The content provided on this blog (e.g., symptom descriptions, health tips, or general advice) is for informational purposes only and is not a substitute for professional medical advice, diagnosis, or treatment. Always seek the guidance of your physician or other qualified healthcare provider with any questions you may have regarding a medical condition. Never disregard professional medical advice or delay seeking it because of something you have read on this website. If you believe you may have a medical emergency, call your doctor or emergency services immediately. Reliance on any information provided by this blog is solely at your own risk.
